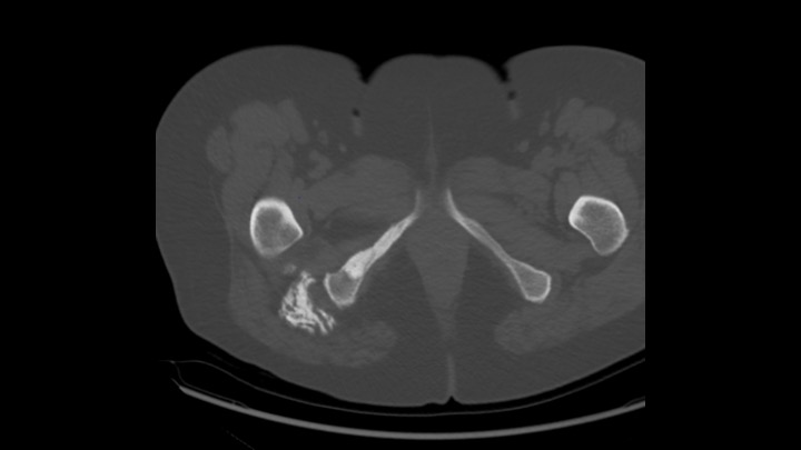
Hi,
50 F patient presents with pelvic pain since 2019. No primary malignancy or
other lesions elsewhere.
I am puzzled by the tubular sclerotic lesion of right inferior pubic ramus
with subtle erosive changes of anterior cortex on CT. Not sure if it’s
related to the pelvic mass as a periarticular manifestation of
melorheostosis vs Paget although this is a middle age female.
Malignancy is in the differential, and I am going to suggest biopsy for a
more definitive diagnosis.
Please advise.

![]()
