Hi All,
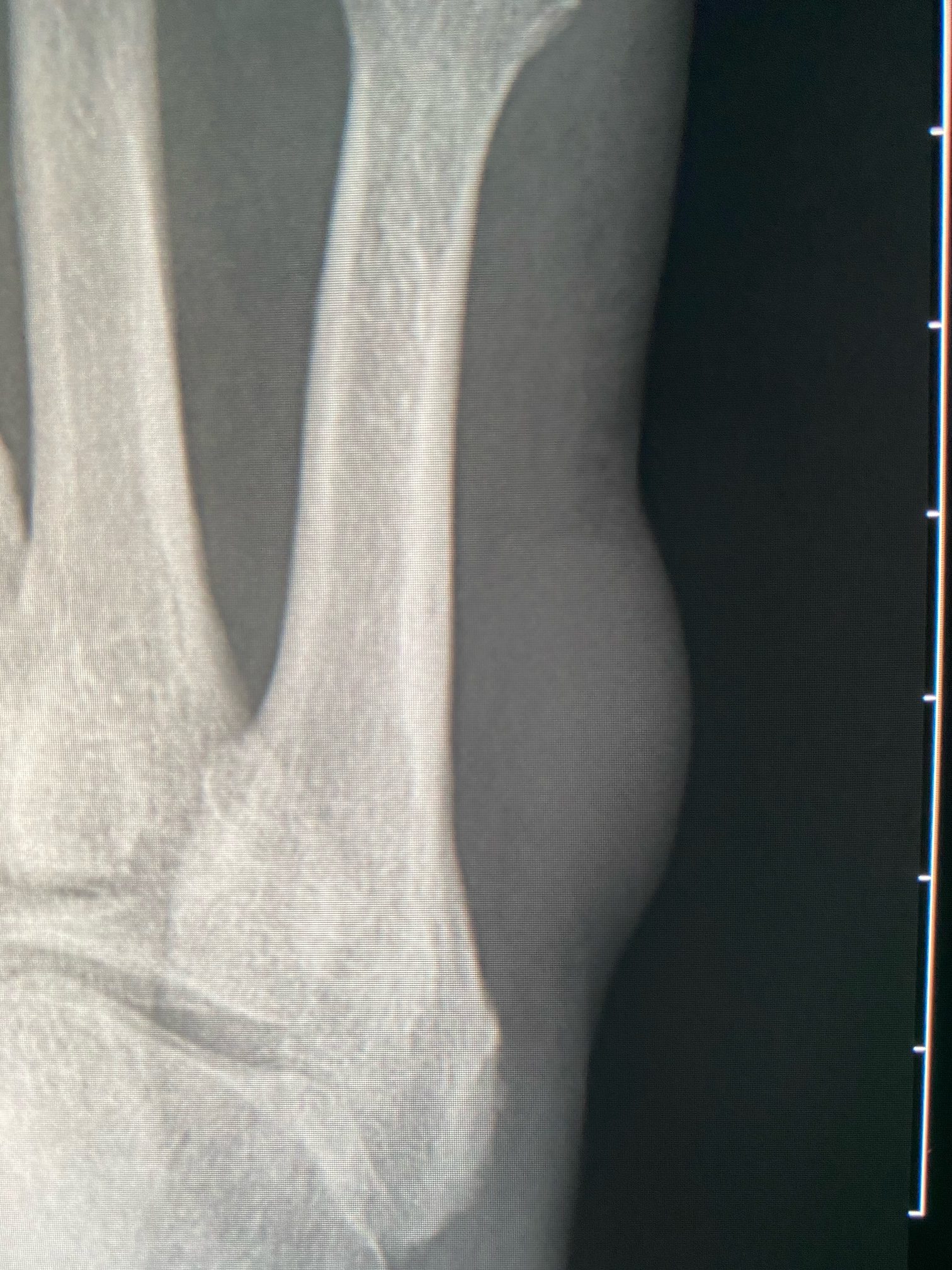
I have an 82 yo male with a chronic lateral foot mass, apparently with “discomfort controlled with OTC ointment” for years. Now with worsening pain.
First I’ve seen it but there are plain films going back to 2008 where it looks similar in size and then has slowly calcified with central dystrophic calcification—showing 2008, 2011, 2018, 2020 (looking scarily like bone matrix):
I’m reading an MR today. The soft tissue component surrounding the calcification is T2 bright, T1 iso to muscle, no diffusion restriction, with avid homogenous enhancement:
It appears to be subdermal centered in the subq fat and I don’t see any efferent or afferent vessels.
Any thoughts would be appreciated!
Thanks
Ben
![]()









Hi All,
I received a text message today from the podiatrist who ordered this study.
The patient finally had this resected and path came back as a “calcified angioleiomyoma.”
Props to Bjorn who suggested that when I originally posted the case!
I figure it always worthwhile to post followup path when we get it, even if 8 months later!
Take care,
Ben
[gallery]