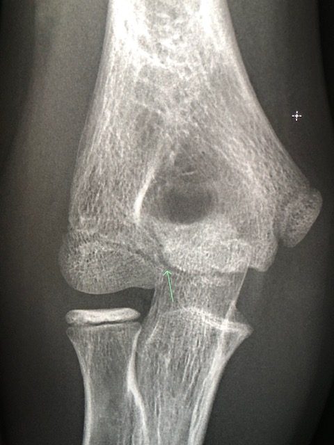
Fracture or not Leave a Comment / Cases / By OCAD Hi everyone 13 yr old male , hit with an ore. Would you call this a fracture ? Foroogh