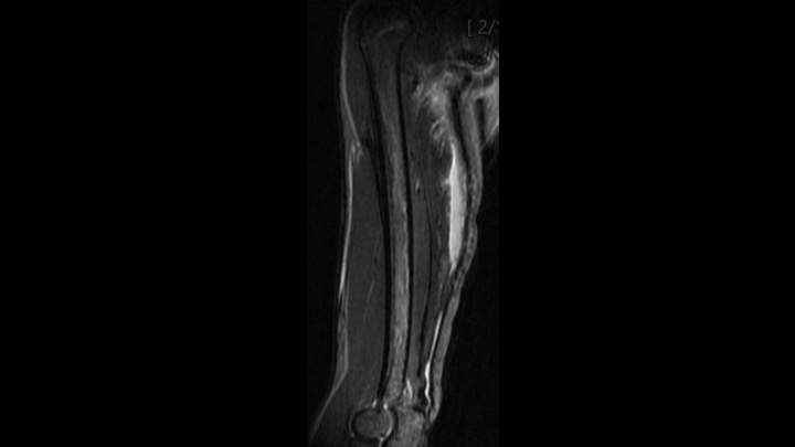
15 y/o running pain for 3 weeks. Flexor strain while running track.
Problem with hips. Small FOV imaging of the hips can miss extra articular pathology. The referrer asked for a hip exam which was done. We typically obtain 2 sequences bilaterally. The origin of it (I think) was to not miss bilateral disease like AVN. In this case, our astute tech came into the reading room […]
![]()
15 y/o running pain for 3 weeks. Flexor strain while running track. Read More »







